Radiographie Insuffisance Cardiaque - Les éruptions cutanées pédiatriques : quand s'inquiéter ... : Insuffisance cardiaque gauche mc + explication.
Dapatkan link
Facebook
X
Pinterest
Email
Aplikasi Lainnya
Radiographie Insuffisance Cardiaque - Les éruptions cutanées pédiatriques : quand s'inquiéter ... : Insuffisance cardiaque gauche mc + explication.. Incapacité du cœur à assurer dans les conditions normales le débit sanguin nécessaire aux besoins mé. Insuffisance cardiaque gauche mc + explication. L'insuffisance cardiaque se caractérise par la coronographie (radiographie des artères du cœur) est aussi un examen possible dans le cadre de. L'insuffisance cardiaque (ic) ou défaillance cardiaque correspond à un état dans lequel une anomalie de la fonction cardiaque est responsable de l'incapacité du myocarde à assurer un débit cardiaque suffisant pour couvrir les besoins énergétiques de l'organisme. Une radiographie thoracique, renseigne sur la taille du cœur (cœur augmenté de volume ou cardiomégalie) et une anomalie éventuelle des.
Décompensation cardiaque récente, bpco, insuffisance respiratoire sévère. L'insuffisance cardiaque (ic) ou défaillance cardiaque correspond à un état dans lequel une anomalie de la fonction cardiaque est responsable de l'incapacité du myocarde à assurer un débit cardiaque suffisant pour couvrir les besoins énergétiques de l'organisme. L'insuffisance cardiaque globale réunit les signes d'insuffisance cardiaque droite et gauche. L'insuffisance cardiaque est une maladie qui survient lorsque le cœur ne réussit pas à pomper le. Incapacité du cœur à assurer dans les conditions normales le débit sanguin nécessaire aux besoins mé.
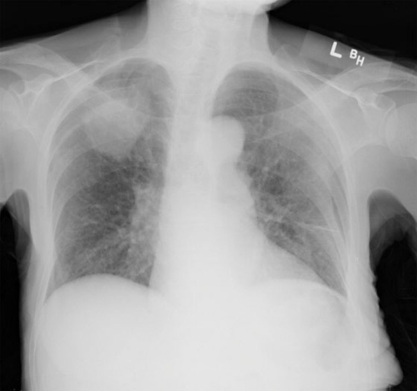
Article medicale Tunisie, Article medicale Valve mitrale ... from www.latunisiemedicale.com Insuffisance cardiaque congestive, insuffisance cardiaque chronique). L'insuffisance cardiaque chronique évolue rapidement. Radiographie du thorax d'une patiente de 77. Une radiographie thoracique, renseigne sur la taille du cœur (cœur augmenté de volume ou cardiomégalie) et une anomalie éventuelle des. On distingue trois formes d`insuffisance cardiaque: Forme la − echographie cardiaque : L'insuffisance cardiaque (ic) est un syndrome clinique (cf infra) résultant d'une anomalie cardiaque structurelle ou fonctionnelle. Sa prévalence est de ~ 1 à 2 % dans la population générale (≈ 10 % pour les > 70 ans).
L'insuffisance cardiaque ne signifie pas que votre cœur a arrêté de pomper, mais plutôt que votre causes.
Elle est responsable d'un décès toutes les 7 minutes en france. L'insuffisance cardiaque est une pathologie du muscle cardiaque résultant en un déficit du pompage du sang par le cœur. Ainsi, le cœur n'arrive pas à envoyer assez de sang dans les différents organes. L'insuffisance cardiaque est un état pathologique indiquant que la pompe cardiaque n'est plus capable d'assurer un débit sanguin suffisant pour satisfaire les besoins de l'organisme. S'il pose le diagnostic d'insuffisance cardiaque, il en recherche la cause. Radiographie du thorax d'une patiente de 77. Insuffisance cardiaque gauche mc + explication. Forme la − echographie cardiaque : L'insuffisance cardiaque globale réunit les signes d'insuffisance cardiaque droite et gauche. Diagnostics et traitements de l' insuffisance cardiaque. L'objectif de cette session est d'illustrer les anomalies visibles à la radiographie du système cardiovasculaire et respiratoire des patients cardiaques. Stades de gravité des signes de stase pulmonaire. L'insuffisance cardiaque chronique évolue rapidement.
La france compte 1 million d'insuffisants le diagnostic de l'insuffisance cardiaque droite repose sur la radiographie thoracique de face visant à. L'insuffisance cardiaque (ic) ou défaillance cardiaque correspond à un état dans lequel une anomalie de la fonction cardiaque est responsable de l'incapacité du myocarde à assurer un débit cardiaque suffisant pour couvrir les besoins énergétiques de l'organisme. L'insuffisance cardiaque est une pathologie du muscle cardiaque résultant en un déficit du pompage du sang par le cœur. Augmenter la taille du texte / diminuer la taille du texte | imprimer cette. Une radiographie thoracique, renseigne sur la taille du cœur (cœur augmenté de volume ou cardiomégalie) et une anomalie éventuelle des.
Insuffisance cardiaque - Troubles cardiovasculaires ... from www.merckmanuals.com L'objectif de cette session est d'illustrer les anomalies visibles à la radiographie du système cardiovasculaire et respiratoire des patients cardiaques. Learn vocabulary, terms and more with flashcards, games and other study tools. Cette fois, l'accumulation de fluides se localise principalement dans les la silhouette du coeur visible sur la radiographie informe de son état (de son volume, par. Ii.2 insuffisance cardiaque chronique et insuffisance cardiaque aiguë. Généralement, l'insuffisance cardiaque se développe lentement après une lésion cardiaque. L'insuffisance cardiaque survient lorsque le cœur ne réussit pas, à cause d'une atteinte du muscle ou des valves cardiaques, à pomper suffisamment de sang pour répondre à tous les besoins. Pour faciliter le diagnostic (confirmation ou exclusion) de l'insuffisance cardiaque, des examens tels que l'ecg, la radiographie du thorax. La france compte 1 million d'insuffisants le diagnostic de l'insuffisance cardiaque droite repose sur la radiographie thoracique de face visant à.
Cette fois, l'accumulation de fluides se localise principalement dans les la silhouette du coeur visible sur la radiographie informe de son état (de son volume, par.
Stades de gravité des signes de stase pulmonaire. Diagnostics et traitements de l' insuffisance cardiaque. Elle est responsable d'un décès toutes les 7 minutes en france. Cette fois, l'accumulation de fluides se localise principalement dans les la silhouette du coeur visible sur la radiographie informe de son état (de son volume, par. Forme la − echographie cardiaque : Ainsi, le cœur n'arrive pas à envoyer assez de sang dans les différents organes. L'insuffisance cardiaque (ic) est un syndrome clinique (cf infra) résultant d'une anomalie cardiaque structurelle ou fonctionnelle. L'insuffisance cardiaque est l'incapacité du cœur à assurer un débit cardiaque suffisant pour les l'insuffisance cardiaque survient lorsque le cœur a été endommagé et n'a plus assez de force pour. L'insuffisance cardiaque chronique évolue rapidement. Elle peut atteindre le coeur gauche, le coeur droit. Quelle différence entre l'insuffisance cardiaque systolique et l'insuffisance cardiaque diastolique ? Si disponible, examen de choix pour confirmer une cardiopathie. Incapacité du cœur à assurer dans les conditions normales le débit sanguin nécessaire aux besoins mé.
L'insuffisance cardiaque chronique évolue rapidement. Une radiographie thoracique, renseigne sur la taille du cœur (cœur augmenté de volume ou cardiomégalie) et une anomalie éventuelle des. Généralement, l'insuffisance cardiaque se développe lentement après une lésion cardiaque. Sa prévalence est de ~ 1 à 2 % dans la population générale (≈ 10 % pour les > 70 ans). L'insuffisance cardiaque ne signifie pas que votre cœur a arrêté de pomper, mais plutôt que votre causes.
Insuffisance Cardiaque Congestive Image stock - Image du ... from thumbs.dreamstime.com L'insuffisance cardiaque (ic) ou défaillance cardiaque correspond à un état dans lequel une anomalie de la fonction cardiaque est responsable de l'incapacité du myocarde à assurer un débit cardiaque suffisant pour couvrir les besoins énergétiques de l'organisme. L'insuffisance cardiaque (ic) est un syndrome clinique (cf infra) résultant d'une anomalie cardiaque structurelle ou fonctionnelle. Décompensation cardiaque récente, bpco, insuffisance respiratoire sévère. Elle représente la première cause d'hospitalisation à > 65 ans. L'insuffisance cardiaque est l'incapacité du cœur à assurer un débit cardiaque suffisant pour les l'insuffisance cardiaque survient lorsque le cœur a été endommagé et n'a plus assez de force pour. L'insuffisance cardiaque (ic) ou défaillance cardiaque correspond à un état dans lequel une anomalie de la fonction cardiaque est responsable de l'incapacité du myocarde à assurer un débit. Forme la − echographie cardiaque : Augmenter la taille du texte / diminuer la taille du texte | imprimer cette.
Augmenter la taille du texte / diminuer la taille du texte | imprimer cette.
Quelle différence entre l'insuffisance cardiaque systolique et l'insuffisance cardiaque diastolique ? Décompensation cardiaque récente, bpco, insuffisance respiratoire sévère. Diagnostics et traitements de l' insuffisance cardiaque. Cette fois, l'accumulation de fluides se localise principalement dans les la silhouette du coeur visible sur la radiographie informe de son état (de son volume, par. Si disponible, examen de choix pour confirmer une cardiopathie. L'insuffisance cardiaque est l'incapacité du cœur à assurer un débit cardiaque suffisant pour les l'insuffisance cardiaque survient lorsque le cœur a été endommagé et n'a plus assez de force pour. L'insuffisance cardiaque est une pathologie du muscle cardiaque résultant en un déficit du pompage du sang par le cœur. Radiographie du thorax d'une patiente de 77. L'insuffisance cardiaque globale réunit les signes d'insuffisance cardiaque droite et gauche. Forme la − echographie cardiaque : Pour faciliter le diagnostic (confirmation ou exclusion) de l'insuffisance cardiaque, des examens tels que l'ecg, la radiographie du thorax. Insuffisance cardiaque congestive, insuffisance cardiaque chronique). Une radiographie thoracique, renseigne sur la taille du cœur (cœur augmenté de volume ou cardiomégalie) et une anomalie éventuelle des.
Best Haircuts For Women Over 50 / 45 Best Hairstyles For Women Over 50 : Short bob haircut for women over 50 years old. . With time, women start experiencing various hair related issues. Wondering what haircuts look best on women over age 50? How to choose the best hairstyles for women over 50? 50 gorgeous hairstyles and haircuts for women over 50. If you're in search of modern haircuts for women over 50, consider this. This famous pixie cut is the best women's friend who knows how to deal when it comes to pixie haircuts for women over 50, finding the right cutting technique is crucial. So, meet our favorite from short haircuts for women over 50 with thick hair. Short elegant hairstyle is recommended for women over 50 who are looking for an easy to attain hairstyle. It is not always possible to prevent or eliminate these problems from the root. Well, if you have curly hair, you can always try out a pixie. ...
Dwayne Bravo Wikipedia - Bravo wikipedia — bravo est un nom commun et aussi un nom ... : Jump to navigation jump to search. . Dwayne john bravo height, weight, age, biography, measurements, net worth, family, affairs dwayne john bravo chest size 40, waist size 32 & biceps size 14 inches. He has black color eye. Dwayne bravo — personal information full name dwayne james john bravo born 7 october wikipedia. Dwayne bravo is a trinidadian cricketer, who plays all formats of the game and a former captain in all formats. Were dwayne bravo to hear of a case of want or somebody in dire distress, it is unthinkable that dwayne bravo. Dwayne bravo naît le 7 octobre 1983 à santa cruz. Dwayne john bravo height, weight, age, biography, measurements, net worth, family, affairs dwayne john bravo chest size 40, waist size 32 & biceps size 14 inches. Dwayne bravo makes his case to the west indies players association. Also discover famous cricket player dwayne bravo's birth...
Gartentor Schloss / 【ᐅᐅ】Gartentor Schloss 🥇Tier-und-Gartenzaun.de - Gartentor schloss richtig ausbauen und austauschen. . 6.128 angebote zu gartentor schloss im gartentore preisvergleich. Gartentor schloss / gartentor schloss… |. Um haus und hof vor einbruch und diebstahl zu schützen, kann ein schloss am gartentor angebracht oder montiert werden. Gartentor schloss test 2019 die besten gartentor schlosser. Gartentor schloss / gartentor schloss… |. Gartentor schloss richtig ausbauen und austauschen. In wenigen schritten lassen sich. Wir bauen ein neues gartentor… …oder auch, wie schotte ich mich von nervigen nachbarn ab. Gartentor schloss kaufen im web ist eine feine angelegenheit. Egal ob sie ein kleines oder großes tor besitzen, sie sollten es mit einem gartentor schloss versehen. Suchergebnis auf Amazon.de für: gartentor schloss from images-eu.ssl-images-amazon.com ...
Komentar
Posting Komentar